水雷射治療

Waterlase

目錄

水雷射儀器介紹

-33

水雷射是利用晶體釋放出 2780nm 波長的雷射光源,這個特殊波長的雷射可激發水分子形成 “HydroPhotonics” 能量,使水分子激發成為具有高速動能的狀態後,作為組織切割之媒介。 水雷射用來切割組織的水分子是具有生理相容性。也因為雷射所產生的能量會充分被水吸收,在手術過程中不會產生熱及震動,在大部分的病例中病人的疼痛感受會大幅的降低,因而能減少對麻醉的需求,同時也能縮短診療的時間。

水雷射的優勢及好處

-33

透過水雷射改善牙齦美觀及治療牙周病,可大幅增加患者的舒適度,並減少病人對手術金屬器材的恐懼感。大部分的水雷射治療不僅可免於麻醉,比起傳統牙周手術的疼痛感及腫漲現象也降低許多,亦能避免傳統高速鑽牙時,因摩擦產生的熱對對牙齒造成損傷。

水雷射牙周病治療透過高速的水分子能量,執行中能減少細菌感染的危險,同時縮短治療後恢復期的時間及術後感染機率,也能減少患者回診次數。是治療牙齦問題及牙周病相當好的選擇。

水雷射牙齦整型美容(牙冠增長術)

Waterlase Gingival Plastic

甚麼狀況會需要牙齦整型美容?

-33
  • 微笑時牙齦比例較多
  • 覺得牙齒看起來很短
  • 牙齦顏色較暗沉

治療方式比較

治療方式水雷射牙齦整形雷射/電刀牙齦整形傳統牙齦整形
治療時間當次可完成
療程時間30分鐘
當次可完成
療程時間30分鐘
手術時間
約 45-90 分鐘
需安排回診拆線
術後狀態牙齦輕微紅腫
當日會輕微滲血
牙齦邊緣稍微焦黑
腫脹較明顯
術後一兩天
傷口輕微滲血
傷口明顯腫脹
視患者狀況
可能有瘀青
出血量多
術後恢復3 日內3-7 日7-14 日

牙齦整型美容案例

-33

牙齦過長,利用水雷射達到美觀比例;牙齦黑色素去除,新長出來的牙齦成為漂亮的粉紅色。

  • 牙冠增長術
  • 牙齦去黑色素

牙齦整型美容案例

-33

牙齦過長,利用水雷射達到美觀比例。

  • 牙冠增長術

牙齦整型美容案例

-33
  • 牙冠增長術
  • 牙齦去黑色素
  • 門牙+側門牙貼片

看診流程

1.初診預約

  • 初診預約 可先加診所官方LINE預約時間

2.安排治療

  • 治療時會進行局部麻醉,療程一次完成。
  • 如您已經先在線上了解,預約時可告知客服人員,當天直接進行治療的意願。

3.回診追蹤

  • 術後1-2週後回診追蹤癒合狀況。

牙齦整型美容-術後需知

  1. 麻藥退後即可飲食,飲食需避開太燙、太辣、刺激性食物。
  2. 當日牙齦視不同患者狀況,可能會有些微滲血,可用棉花棒或紗布沾漱口水後擦拭。
  3. 牙齒可能出現敏感狀況,約 2-3 天後會慢慢復原。

水雷射牙周病治療

Waterlase Periodontal

牙周病的自我檢核

牙周病的自我檢核

-33
  • 刷牙容易流血
  • 牙齒對冷熱敏感
  • 吃東西覺得牙齒無力
  • 牙齦萎縮牙縫變大
  • 有口臭
  • 牙齒搖晃

牙周病的形成

-33

澄心美學牙醫提醒!牙周病大多因為錯誤清潔方式造成,或長期有不良習慣(例如:抽菸、嚼食檳榔、熬夜)未定期實施 6 個月牙齒檢查,使口內細菌量增加形成牙結石,導致牙周病產生。

治療方式比較

項目傳統牙周治療水雷射技術治療
雷射方式水雷射
單次治療時間60~90分鐘約45分鐘
回診間格時間間隔一週間隔一週
麻藥施打麻藥用量多麻藥用量少(部分不需)
使用牙周刮刀及震動感✚✚✚✚✚
術後腫痛✚✚✚✚
術後流血✚✚✚✚
傷口大小組織破壞較多
傷口癒合較慢
傷口極小
術後恢復7~14天
仍有些微不適感
2~3天
無明顯不適感
口腔保健備品牙周病專用軟膏、
漱口水、牙膏小樣
口腔衛教追蹤6個月每次回診追蹤

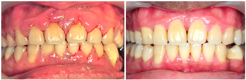
牙周病治療案例

-33

患者為23歲年輕人,因為遺傳性牙周病造成牙齦經常性腫脹,利用水雷射治療恢復牙齦正常。

看診流程

1.初診預約

  • 拍攝全口X光片,醫師口內評估確定牙周狀況,並說明治療方式及價格。

2.治療安排

  • 全口牙周治療約2-3次,每次療程45-60分鐘,每次間隔1-2週

3.定期檢查

  • 治療結束牙齦穩定後,建議3個月定期回診追蹤

牙周病治療-術後需知

  1. 一週內飲食需要注意,太燙、辣、刺激性食物、生食需避開,避免癒合狀況受影響。
  2. 2-3 日內牙齦仍會有些微滲血狀況,請使用適當工具維持正常清潔,並搭配漱口水。
  3. 請避開抽菸、吃檳榔、熬夜,易影響牙周復原狀況,並可能導致牙周持續受到刺激發炎。
  4. 牙齒可能出現敏感狀況,是因為原本被腫脹牙齦蓋住的地方會因牙周消腫而露出來,約 1 週左右會穩定。
  5. 牙周病需保持定期追蹤,才能有效控制牙周狀況。